University of Washington OncoRad Research Core

University of Washington OncoRad Research Core


Overview

As a Postdoctoral Researcher with the OncoRad Research Core at the University of Washington School of Medicine, I worked on translational imaging and clinical research problems where strong technical methods could directly improve study workflows and biomarker development. The work sat at the intersection of computer vision, natural language processing, imaging analytics, and data engineering.

University of Washington imaging research lab team photo.
During my postdoc, I worked with a highly collaborative research environment focused on clinically relevant imaging and biomarker problems.


Research and Engineering Work

Some of my work focused on building tools that made clinical imaging research more scalable and more precise:

  • I developed an NLP-based case-finding algorithm that achieved 98% accuracy for identifying specific CT imaging sequences in Python.
  • I built a multithreaded deep learning pipeline for body composition measurement from CT images, improving throughput by 8x.
  • I partnered with the Department of Radiology to source, query, and curate research data across School of Medicine databases using SQL to support translational studies.

What I liked most about this role was that the technical work had to connect cleanly to real research needs. The goal was not just to build a model, but to make data easier to find, make image processing pipelines practical to run, and help investigators ask better clinical questions with better measurements.

Computer Vision and Segmentation Example

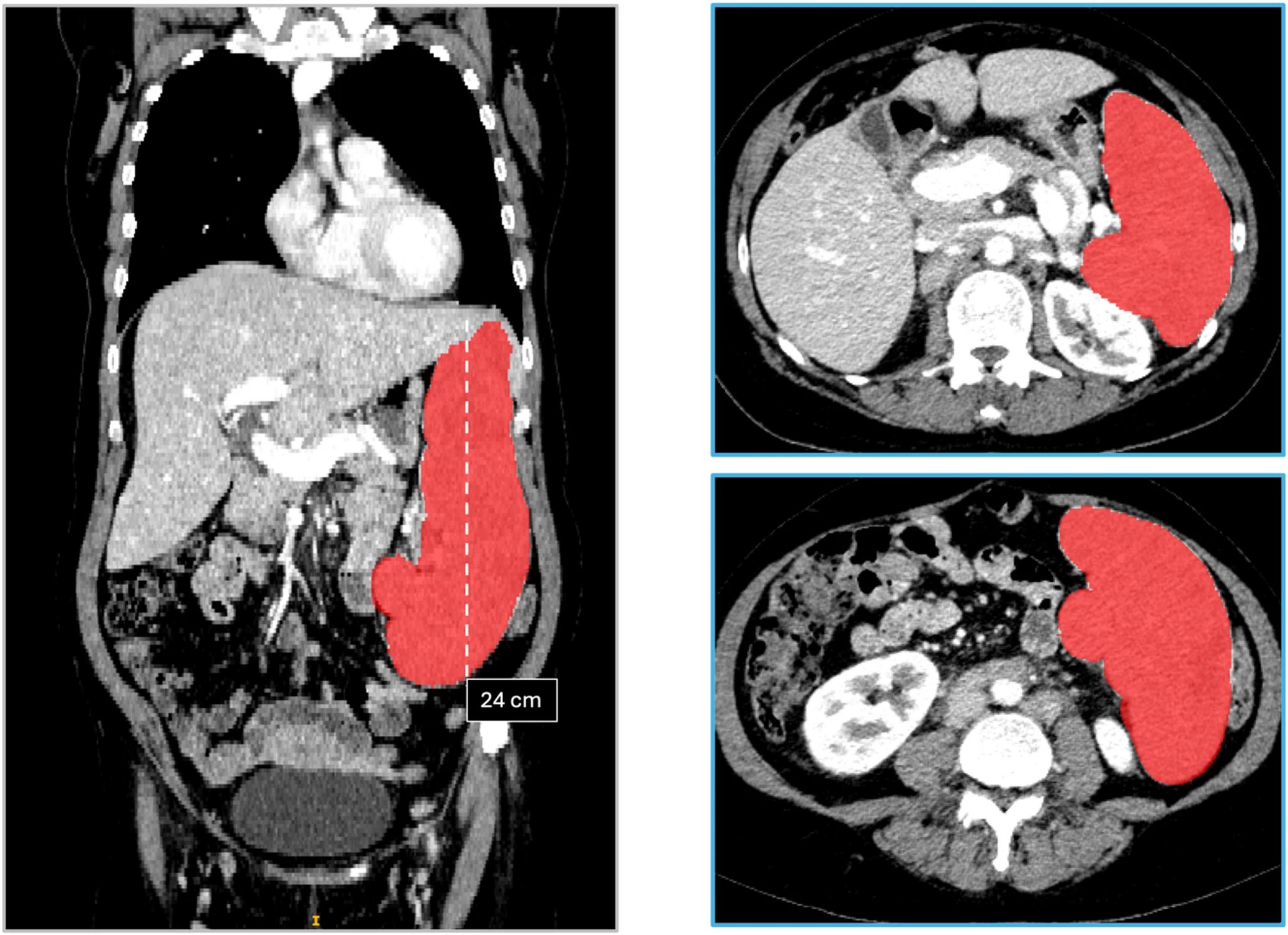
One project I contributed to involved segmentation and quantitative measurement workflows for spleen analysis on CT in patients with hematologic malignancies. This kind of work is a good example of the translational nature of the postdoc: computer vision methods were not being developed in isolation, but as part of a measurement pipeline tied to treatment response and clinical trial assessment.

CT segmentation figure showing spleen segmentation and measurement views.
An example of the segmentation-focused imaging work from my time at UW, where volumetric measurement and image analysis were central to the clinical question.


Related publication:

  • Hasenstab KA, Lu J, Leong LT, Bossard E, Pylarinou-Sinclair E, Devi K, Cunha GM. Relationship between spleen volume and diameter for assessment of response to treatment on CT in patients with hematologic malignancies enrolled in clinical trials. Abdominal Radiology. 2025;50(12):5799-5809. DOI: 10.1007/s00261-025-05030-7

Why This Role Mattered to Me

This postdoctoral experience reinforced something I care about deeply: the best health AI work usually requires more than one skill set at the same time. It is not only model building. It is also study design, data curation, workflow engineering, quantitative validation, and communication with domain experts who care about the underlying clinical meaning. That combination is a big part of what continues to draw me toward applied health AI.




Lambert Leong
Lambert Leong
Hi, I am Lambert Leong, PhD. I build health AI systems spanning foundation models, generative AI evaluation, medical imaging, and applied machine learning research.
comments powered by Disqus